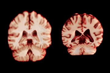
کاهش حجم مغز
برای دسترسی به اخبار قدیمیتر، در منوی مربوطه سال و ماه را محدود کنید.
-
مغز مردان سریعتر از زنان کوچک میشود
مغز زنان کُندتر پیر میشود، اما به نظر نمیرسد که این موضوع آنها را از ابتلا به نوع شایع زوال عقل محافظت کند.