به گزارش ایسنا به نقل از نشریه ساینس،محققان دانشگاه پنسیلوانیا در سالهای اخیر مدعی درمان سرطان خون با استفاده از نوع خاصی از مهندسی ژنتیک شده بودند و حالا تیم تحقیقاتی دیگری از این دانشگاه ادعا کردهاند که ممکن است با همین روش بتوانند بیماری پوستی ناتوان کننده ای را درمان کنند. این ادعا به این خاطر است که هر دو این بیماریها یک وجه مشترک دارند و آن انحراف سلولهای سیستم ایمنی است.
درمان این بیماری پوستی که یک اختلال خود ایمنی نادر به نام "پمفیگوس ولگاریس" (تاول پوست) است، تابحال فقط روی موشها آزمایش و تایید شده است. اما به دلیل درمان آن در مورد سرطان خون انسان که نتایج بسیار خارقالعاده ای ارائه کرد، محققان خوشبین هستند که روزی بتوانند بیماری پمفیگوس و حتی سایر بیماریهای خودایمنی را در انسان درمان کنند.
بیماریهای خودایمنی وقتی اتفاق میافتند که سیستم ایمنی بدن بافت بدن خود بیمار را اشتباها به عنوان عضو خارجی در نظر بگیرد و در نتیجه به آن حمله کند.
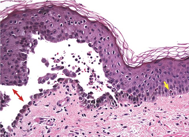
در بیماری پمفیگوس، نوعی از پروتئین که سلولهای پوست را کنار هم نگه میدارد مورد حمله قرار میگیرد. وقتی این سلولهای ایمنی نابهنجار، پروتئین مذکور را از بین میبرند، پوست کیفیت خود را از دست میدهد و بخصوص در ناحیه دهان و گلو تاول میزند. خوردن و آشامیدن در این حالت بسیار سخت و حتی جانفرسا میشود و میتواند بیمار را دچار عفونت کند.
این مورد نادر در اواسط قرن بیستم که کورتیزون و سایر استروئیدهای سرکوبگر ایمنی وجود نداشت حتی یک بیماری کشنده به حساب میآمد. اما هر دو این داروها هم به دلیل کاهش ایمنی بدن دردسر سازند و بدن بیمار را مستعد عفونت میکنند.
در دو بیماری سرطان خون و بیماری تاول پوستی، اختلال در سلولهای بخش ایمنی بدن رخ میدهد و در بعضی سرطانهای خون، این اختلال باعث بدخیم شدن سلولها میشود.
در درمان این بیماری پوستی، دانشمندان سلولهای ایمنی را دستکاری میکنند که فقط قادر باشند سلولهای اختلال یافته را نابود کنند.
موشها به طور طبیعی درگیر این بیماری نمیشوند. بنابراین دانشمندان مجبور به تزریق سلولهای نابهنجار به تعدادی از این حیوانات شدند که بعد از چند هفته درمان، هیچ تاولی در موش ها مشاهده نشد.
هدف بعدی این گروه تحقیقاتی استفاده از همین روش در درمان تاول سگهاست که بطور طبیعی امکان تاول زدنشان وجود دارد. دانشمندان همچنین در تلاشند تا این روش درمانی را روی انسان آزمایش کنند.
انتهای خبر


نظرات