به نقل از ویفروم، این مطالعه که در آفریقای جنوبی انجام شده است، نشان داد، افرادی که از رژیم غذایی سالم استفاده میکنند نسبت به افرادی که رژیم غذایی سالمی ندارند کمتر در معرض ابتلا به سل قرار دارند.
یک رژیم غذایی سالم شامل مقدار زیادی میوه، سبزیجات و غلات کامل است. یافتهها نشان میدهد که بهبود تغذیه یک راهبرد مهم برای پیشگیری و کنترل سل است.
قرنهاست که میدانیم سل یک بیماری اجتماعی است و به دلیل فقر و عوامل اجتماعی مانند سوءتغذیه، مسکن نامناسب، ازدحام بیش از حد و محیطهای کاری ناامن رشد میکند.
نتایج این تحقیق نشان داد که ارائه سبدهای غذایی به افراد مبتلا به سل و خانوادههای آنها میتواند کمک زیادی به پیشگیری و کاهش این بیماری کند.
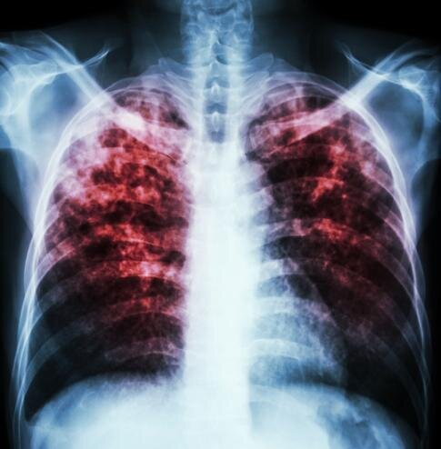
میزان مرگومیر و بروز سل در سطح جهان از زمان همهگیری کووید افزایش یافته و سل را بهعنوان کشندهترین قاتل عفونی در صدر قرار داده است.
۱.۶ میلیون نفر در سال ۲۰۲۱ بر اثر سل جان خود را از دست دادند. سوءتغذیه مهمترین عامل ابتلا به سل است و این در مطالعات بسیاری از کشورها، ازجمله آفریقای جنوبی نشان داده شده است، جایی که محققان سطوح ضعیفی از تغذیه را در بیماران بستری شده در بیمارستان تخصصی سل دریافتند.
سوءتغذیه به تمام اشکال کمبودهای تغذیه ازجمله تغذیه بیش از حد و چاقی و بهطور خاص به کمبود مواد مغذی اشاره دارد. بسیاری از بیماران مبتلا به سل تغذیه نامناسبی دارند و آخرین شواهد نشان میدهد که سوءتغذیه نیز نقش کلیدی در ابتلا به سل در خانوادهها دارد.
نتایج کارآزمایی نشان میدهد که بهبود تغذیه در اعضای خانواده بیماران مبتلا به سل ریه تقریبا ۴۰ درصد باعث کاهش همه اشکال سل و نزدیک به ۵۰ درصد سل عفونی میشود.
در این آزمایش، غذا مانند یک واکسن عمل کرد و خطر ابتلا به سل را کاهش داد. تغذیه همچنین میتواند از سایر شرایط مانند کمخونی، اسهال و عفونتهای تنفسی محافظت کند اما اینها تمرکز اصلی کارآزمایی نبودند.
انتهای پیام


نظرات