به گزارش ایسنا و به نقل از اس تی دی، بر اساس یک مطالعه تحقیقاتی که بودجه آن توسط موسسه ملی سلامت(NIH) تامین شده است، نوزادانی که در ۲۴ ماهگی با اختلال طیف اوتیسم (ASD) تشخیص داده میشوند، در نواحی پردازش بینایی مغز تفاوتهایی دارند که این علائم زودتر آشکار میشوند.
دانشمندان این نظریه را مطرح کردند که اختلال در پردازش بصری میتواند در نحوه دید نوزادان از دنیای اطرافشان اختلال ایجاد کند و نحوه تعامل و یادگیری آنها با افراد و محیط اطرافشان را تغییر دهد. این تغییرات اولیه میتواند بر رشد بیشتر مغز تاثیر بگذارد و در افزایش علائم اختلال طیف اوتیسم نقش داشته باشد.
طیف اوتیسم، طیفی از شرایط و اختلالات عصبی-رشدی (از نوع روابط اجتماعی و ارتباطی) است که در درجه اول با مشکلات قابل توجه در تعاملات اجتماعی کلامی و غیر کلامی، تفاوت در ارتباطات با دیگران و وجود رفتارهای سفت و سخت و تکراری مشخص میشود.

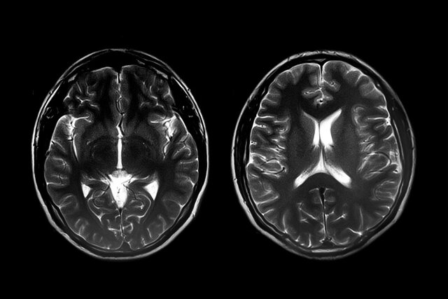
طی این مطالعه محققان ۳۸۴ خواهر و برادر را مورد بررسی قرار دادند که یکی از آنها که بزرگتر بود مبتلا به اختلال طیف اوتیسم تشخیص داده شده بود. تحقیقات قبلی این محققان نشان داده بود که اگر خواهر و برادر بزرگتر یک فرد سطوح بالاتری از ویژگیهای اختلال طیف اوتیسم داشته باشند، احتمال ابتلای خواهر و برادرهای کوچکتر به اختلال طیف اوتیسم بیشتر است. طی این مطالعه محققان تصویرسازی تشدید مغناطیسی (MRI) را روی مغز خواهر و برادر کوچکتر در سنین ۶، ۱۲ و ۲۴ ماهگی انجام دادند.
در میان ۸۹ خواهر و برادر کوچکتر مبتلا به اختلال طیف اوتیسم، آنهایی که خواهر و برادرهای بزرگترشان دارای ویژگیهای شدید اختلال طیف اوتیسم بودند، حجم و سطح مخ بیشتری داشتند که این قسمت نیز گفتار، فکر، احساسات، خواندن، نوشتن و یادگیری را کنترل میکند. از طرفی سطح بزرگتر در قسمتی از قشر بینایی برای تشخیص اشیا مهم است و اتصالات کمتر بالغ در بخش پشتی جسم پینهای که قشر بینایی چپ و راست مغز را به هم متصل میکند، در توجه بصری نقش دارد.
انتهای پیام


نظرات